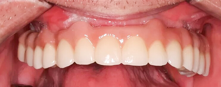
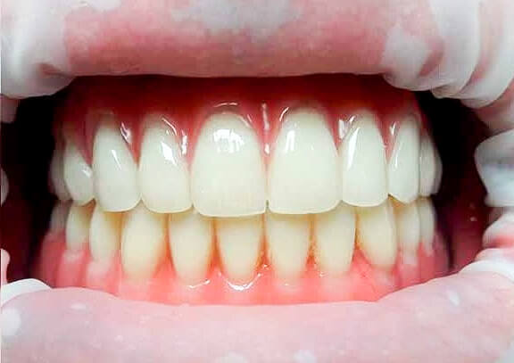
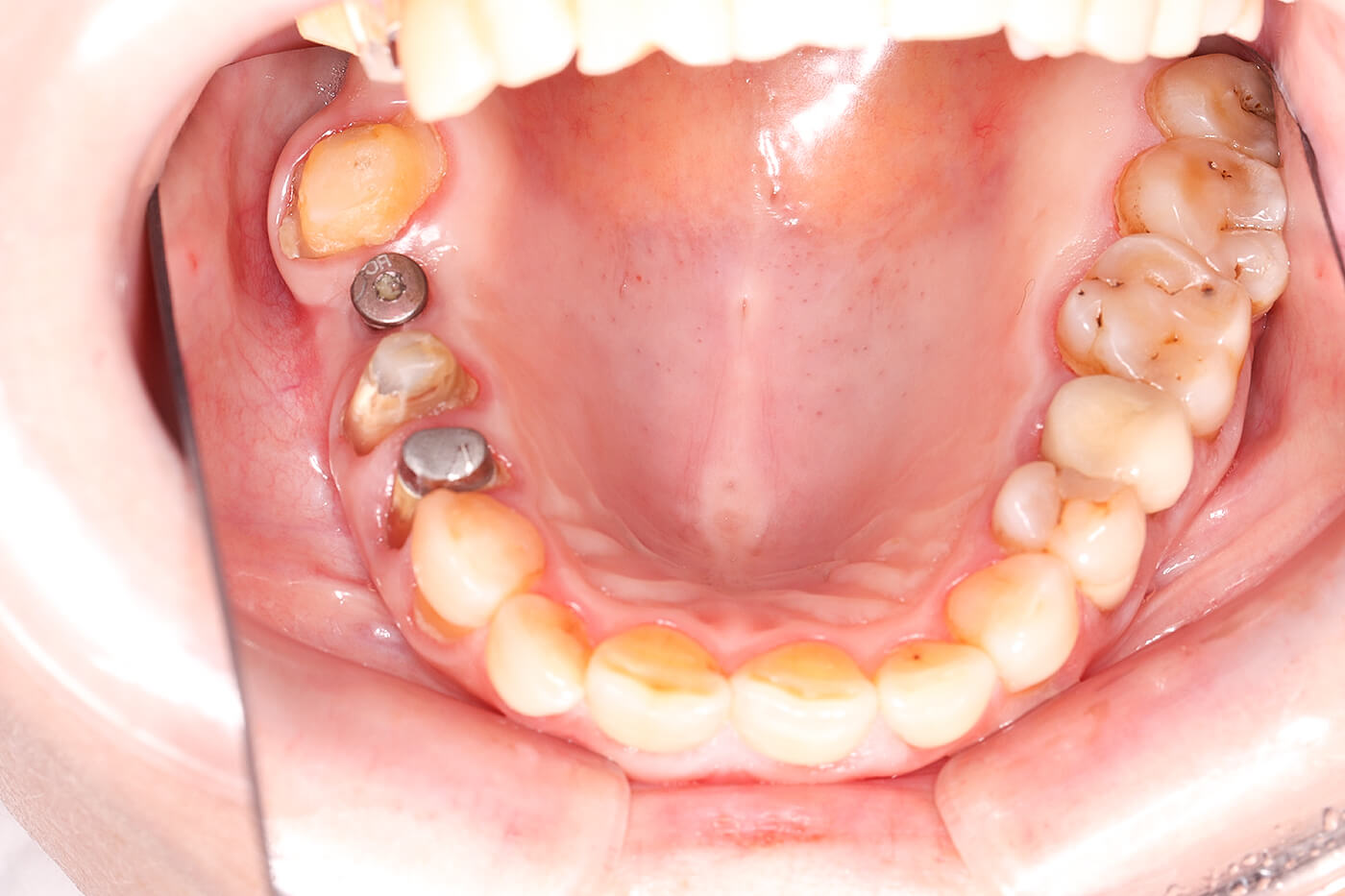
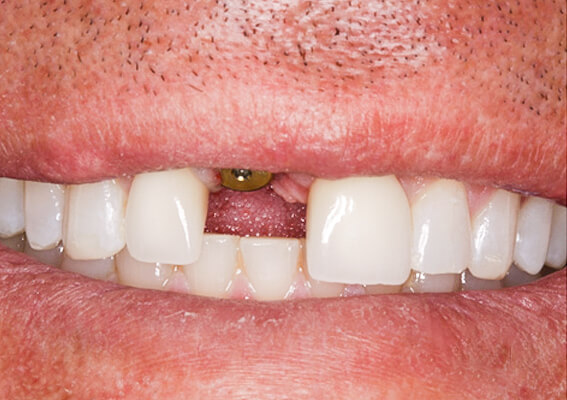
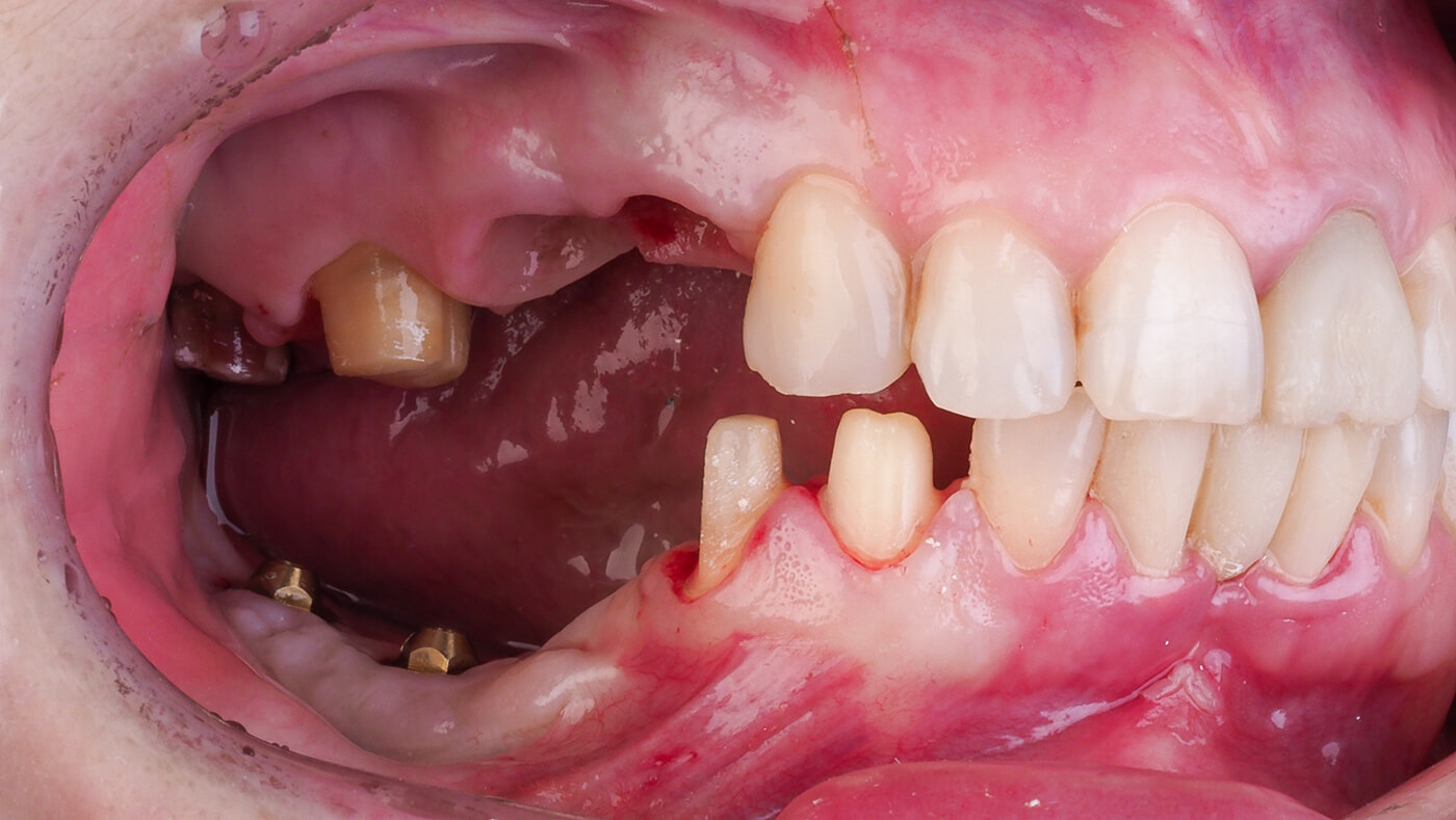
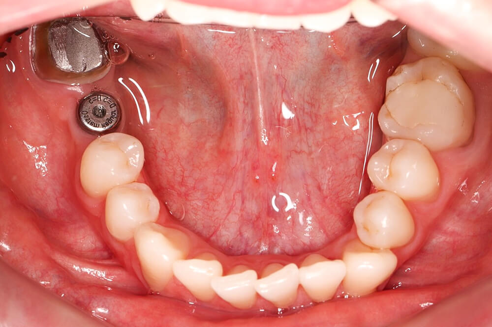
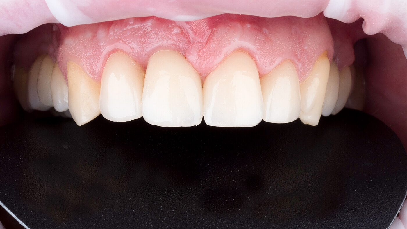
Имплант Osstem (Южная Корея)
+ установка за 18 500 р.
+ установка за 18 500 р.
c применением инновационных технологий, пожизненной гарантией
и бесплатным регулярным осмотром
и бесплатным регулярным осмотром
Получите бесплатную консультацию
стоматолога в течение 10 минут
стоматолога в течение 10 минут
+ подарок: бесплатная чистка зубов технологией Air Flow